Skip to the content
HISTOREP
  • Início
  • RESUMOS
    • RESUMOS DE TECIDOS
    • RESUMOS DOS SISTEMAS
    • RESUMOS HISTOLOGIA BUCAL
    • Fotos do laminário prova prática 1 – Histologia Geral Odonto
    • Resumos Para Provas
      • Resumo prova 1- Histo Geral Odonto
      • Resumo prova 1 histo bucal
      • RESUMO PROVA 2 HISTO BUCAL
      • Fotos do laminário – Prova prática 1 Veterinária
      • Fotos do Laminário Prova prática 2 Veterinária
      • Apresentações com lâminas
  • Imagens
    • Fotos de tecido
      • Tecido epitelial e glandular
      • Tecido adiposo
      • Tecido conjuntivo
      • Tecido Sanguíneo
      • Tecido cartilaginoso
      • Tecido ósseo
      • Tecido muscular
      • Tecido nervoso
    • Fotos de sistemas
      • Sistema tegumentar
      • Sistema Circulatório
      • Sistema Imune
      • Sistema Respiratório
      • Sistema Urinário
      • Sistema Genital Feminino
      • Sistema Genital Masculino
      • Sistema endócrino
    • Imagens Histologia Bucal e Embriologia
      • Embriologia da Face
      • Odontogênese
      • Esmalte
      • Erupção Dentária
      • Periodonto
      • Mucosas e Aparelho Gustativo
  • Vídeos
    • Vídeos com imagens – TECIDOS
      • Tecido Epitelial de Revestimento
      • Tecido epitelial II
      • Tecido Epitelial Glandular
      • Tecido epitelial glandular II
      • Tecido Conjuntivo
      • Tecido Cartilaginoso e Adiposo
      • Tecido cartilaginoso
      • Tecido Ósseo
      • Tecido ósseo II
      • Tecido Muscular
      • Tecido muscular II
      • Tecido Nervoso
    • Videos com imagens -SISTEMAS
      • Sistema respiratório
      • Sistema respiratório
      • Sistema respiratório II
      • Sistema imune
      • Sistema digestório
      • Sistema Digestório II
      • Sistema circulatório
      • Sistema Circulatório II
      • Sistema tegumentar
      • Sistema tegumentar II
      • Sistema Endócrino
      • Sistema reprodutor feminino
        • Sistema urinário
        • Sistema reprodutor masculino
  • Jogos e Atividades
    • Histoquiz – listas de exercícios
      • Exercícios Microscopia Óptica
      • Lista de exercícios – Coloração e histoprocessamento
      • Lista de exercícios – Tecido Epitelial Glandular
      • Lista de exercícios – Sistema Circulatório
      • Lista de exercícios – Sistema Linfoide
    • Palavras cruzadas
    • Caça palavras
    • quiz web
    • Flashcards
      • Flashcards Histologia Geral
      • Flashcards Histologia Bucal
  • Início
  • RESUMOS
    • RESUMOS DE TECIDOS
    • RESUMOS DOS SISTEMAS
    • RESUMOS HISTOLOGIA BUCAL
    • Fotos do laminário prova prática 1 – Histologia Geral Odonto
    • Resumos Para Provas
      • Resumo prova 1- Histo Geral Odonto
      • Resumo prova 1 histo bucal
      • RESUMO PROVA 2 HISTO BUCAL
      • Fotos do laminário – Prova prática 1 Veterinária
      • Fotos do Laminário Prova prática 2 Veterinária
      • Apresentações com lâminas
  • Imagens
    • Fotos de tecido
      • Tecido epitelial e glandular
      • Tecido adiposo
      • Tecido conjuntivo
      • Tecido Sanguíneo
      • Tecido cartilaginoso
      • Tecido ósseo
      • Tecido muscular
      • Tecido nervoso
    • Fotos de sistemas
      • Sistema tegumentar
      • Sistema Circulatório
      • Sistema Imune
      • Sistema Respiratório
      • Sistema Urinário
      • Sistema Genital Feminino
      • Sistema Genital Masculino
      • Sistema endócrino
    • Imagens Histologia Bucal e Embriologia
      • Embriologia da Face
      • Odontogênese
      • Esmalte
      • Erupção Dentária
      • Periodonto
      • Mucosas e Aparelho Gustativo
  • Vídeos
    • Vídeos com imagens – TECIDOS
      • Tecido Epitelial de Revestimento
      • Tecido epitelial II
      • Tecido Epitelial Glandular
      • Tecido epitelial glandular II
      • Tecido Conjuntivo
      • Tecido Cartilaginoso e Adiposo
      • Tecido cartilaginoso
      • Tecido Ósseo
      • Tecido ósseo II
      • Tecido Muscular
      • Tecido muscular II
      • Tecido Nervoso
    • Videos com imagens -SISTEMAS
      • Sistema respiratório
      • Sistema respiratório
      • Sistema respiratório II
      • Sistema imune
      • Sistema digestório
      • Sistema Digestório II
      • Sistema circulatório
      • Sistema Circulatório II
      • Sistema tegumentar
      • Sistema tegumentar II
      • Sistema Endócrino
      • Sistema reprodutor feminino
        • Sistema urinário
        • Sistema reprodutor masculino
  • Jogos e Atividades
    • Histoquiz – listas de exercícios
      • Exercícios Microscopia Óptica
      • Lista de exercícios – Coloração e histoprocessamento
      • Lista de exercícios – Tecido Epitelial Glandular
      • Lista de exercícios – Sistema Circulatório
      • Lista de exercícios – Sistema Linfoide
    • Palavras cruzadas
    • Caça palavras
    • quiz web
    • Flashcards
      • Flashcards Histologia Geral
      • Flashcards Histologia Bucal

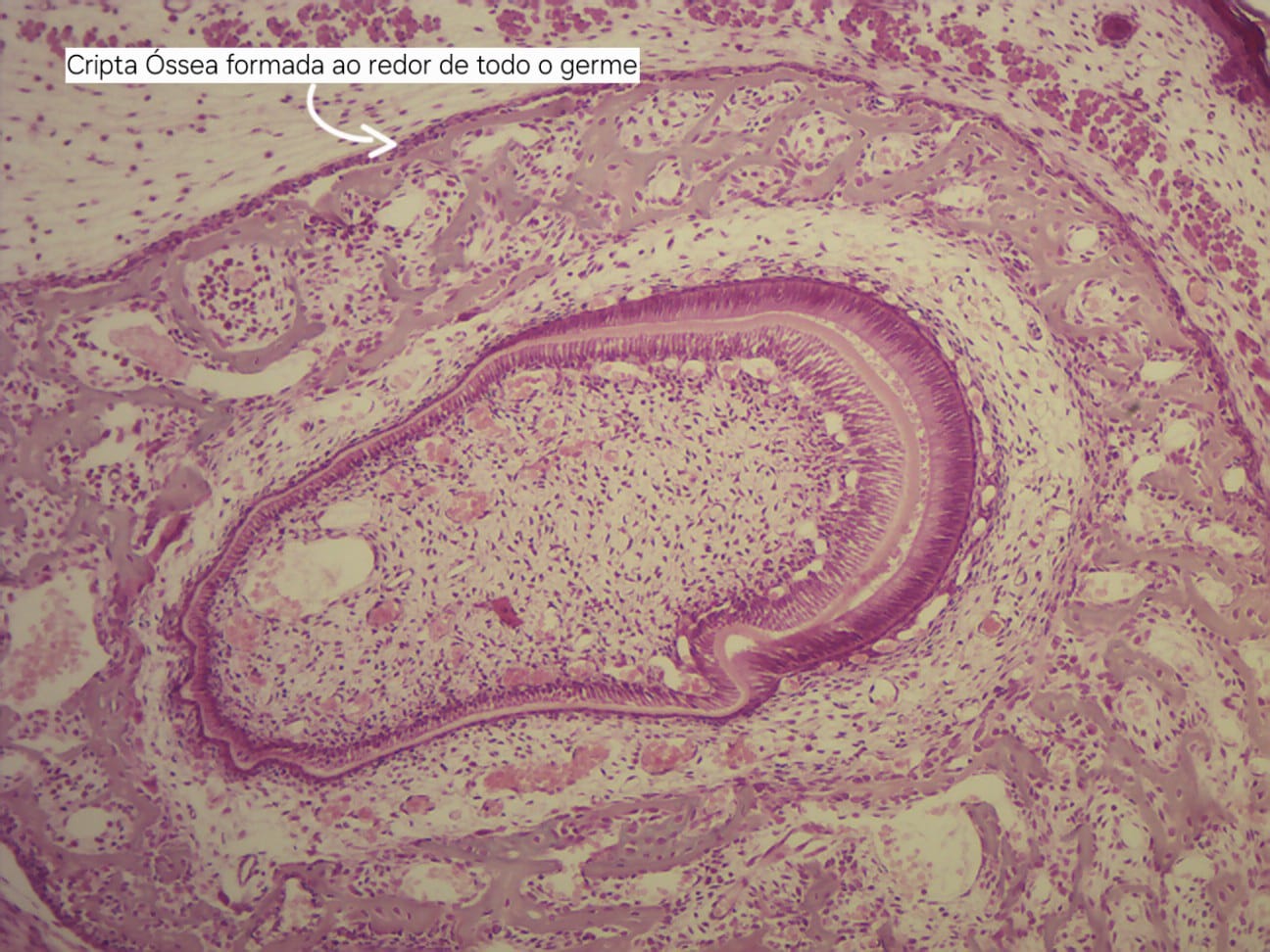
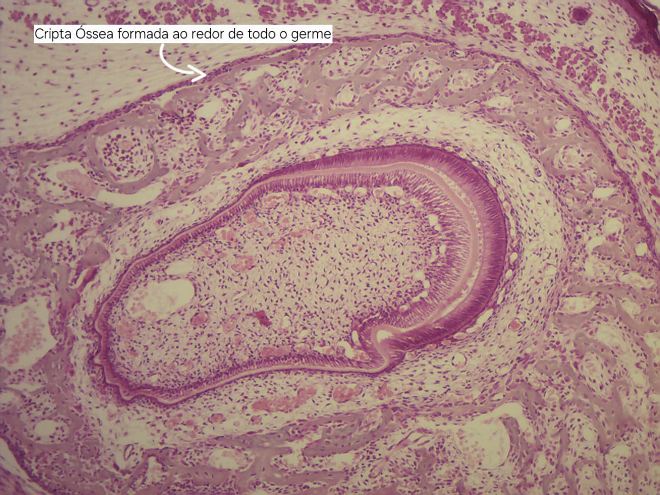
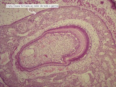
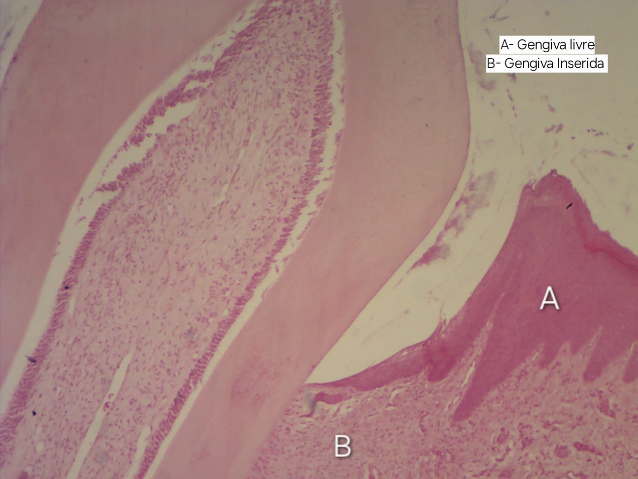
Periodonto

Posts recentes

  • Tecido Epitelial 1
  • Resumo Tecido Sanguíneo
  • Flashcards Histologia Bucal
  • Flashcards
  • Sistema Circulatório
  • Doutoranda do Historep ganha prêmio em SP

Posts recentes

  • Tecido Epitelial 1
  • Resumo Tecido Sanguíneo
  • Flashcards Histologia Bucal
  • Flashcards
  • Sistema Circulatório

Últimos posts

  • Tecido Epitelial 1
  • Resumo Tecido Sanguíneo
  • Flashcards Histologia Bucal
  • Flashcards
  • Sistema Circulatório

Widget de texto

Estes widgets estão sendo exibidos porque você ainda não adicionou nenhum widget. Você pode fazer isso em Aparência > Widgets na administração do WordPress.

© 2026 HISTOREP — Criado com WordPress

Tema por Anders Noren — Topo ↑