Skip to the content
Search for:
HISTOREP
Início
RESUMOS
RESUMOS DE TECIDOS
RESUMOS DOS SISTEMAS
RESUMOS HISTOLOGIA BUCAL
Fotos do laminário prova prática 1 – Histologia Geral Odonto
Resumos Para Provas
Resumo prova 1- Histo Geral Odonto
Resumo prova 1 histo bucal
RESUMO PROVA 2 HISTO BUCAL
Fotos do laminário – Prova prática 1 Veterinária
Fotos do Laminário Prova prática 2 Veterinária
Apresentações com lâminas
Imagens
Fotos de tecido
Tecido epitelial e glandular
Tecido adiposo
Tecido conjuntivo
Tecido Sanguíneo
Tecido cartilaginoso
Tecido ósseo
Tecido muscular
Tecido nervoso
Fotos de sistemas
Sistema tegumentar
Sistema Circulatório
Sistema Imune
Sistema Respiratório
Sistema Urinário
Sistema Genital Feminino
Sistema Genital Masculino
Sistema endócrino
Imagens Histologia Bucal e Embriologia
Embriologia da Face
Odontogênese
Esmalte
Erupção Dentária
Periodonto
Mucosas e Aparelho Gustativo
Vídeos
Vídeos com imagens – TECIDOS
Tecido Epitelial de Revestimento
Tecido epitelial II
Tecido Epitelial Glandular
Tecido epitelial glandular II
Tecido Conjuntivo
Tecido Cartilaginoso e Adiposo
Tecido cartilaginoso
Tecido Ósseo
Tecido ósseo II
Tecido Muscular
Tecido muscular II
Tecido Nervoso
Videos com imagens -SISTEMAS
Sistema respiratório
Sistema respiratório
Sistema respiratório II
Sistema imune
Sistema digestório
Sistema Digestório II
Sistema circulatório
Sistema Circulatório II
Sistema tegumentar
Sistema tegumentar II
Sistema Endócrino
Sistema reprodutor feminino
Sistema urinário
Sistema reprodutor masculino
Jogos e Atividades
Histoquiz – listas de exercícios
Exercícios Microscopia Óptica
Lista de exercícios – Coloração e histoprocessamento
Lista de exercícios – Tecido Epitelial Glandular
Lista de exercícios – Sistema Circulatório
Lista de exercícios – Sistema Linfoide
Palavras cruzadas
Caça palavras
quiz web
Flashcards
Flashcards Histologia Geral
Flashcards Histologia Bucal
Toggle search field
Início
RESUMOS
RESUMOS DE TECIDOS
RESUMOS DOS SISTEMAS
RESUMOS HISTOLOGIA BUCAL
Fotos do laminário prova prática 1 – Histologia Geral Odonto
Resumos Para Provas
Resumo prova 1- Histo Geral Odonto
Resumo prova 1 histo bucal
RESUMO PROVA 2 HISTO BUCAL
Fotos do laminário – Prova prática 1 Veterinária
Fotos do Laminário Prova prática 2 Veterinária
Apresentações com lâminas
Imagens
Fotos de tecido
Tecido epitelial e glandular
Tecido adiposo
Tecido conjuntivo
Tecido Sanguíneo
Tecido cartilaginoso
Tecido ósseo
Tecido muscular
Tecido nervoso
Fotos de sistemas
Sistema tegumentar
Sistema Circulatório
Sistema Imune
Sistema Respiratório
Sistema Urinário
Sistema Genital Feminino
Sistema Genital Masculino
Sistema endócrino
Imagens Histologia Bucal e Embriologia
Embriologia da Face
Odontogênese
Esmalte
Erupção Dentária
Periodonto
Mucosas e Aparelho Gustativo
Vídeos
Vídeos com imagens – TECIDOS
Tecido Epitelial de Revestimento
Tecido epitelial II
Tecido Epitelial Glandular
Tecido epitelial glandular II
Tecido Conjuntivo
Tecido Cartilaginoso e Adiposo
Tecido cartilaginoso
Tecido Ósseo
Tecido ósseo II
Tecido Muscular
Tecido muscular II
Tecido Nervoso
Videos com imagens -SISTEMAS
Sistema respiratório
Sistema respiratório
Sistema respiratório II
Sistema imune
Sistema digestório
Sistema Digestório II
Sistema circulatório
Sistema Circulatório II
Sistema tegumentar
Sistema tegumentar II
Sistema Endócrino
Sistema reprodutor feminino
Sistema urinário
Sistema reprodutor masculino
Jogos e Atividades
Histoquiz – listas de exercícios
Exercícios Microscopia Óptica
Lista de exercícios – Coloração e histoprocessamento
Lista de exercícios – Tecido Epitelial Glandular
Lista de exercícios – Sistema Circulatório
Lista de exercícios – Sistema Linfoide
Palavras cruzadas
Caça palavras
quiz web
Flashcards
Flashcards Histologia Geral
Flashcards Histologia Bucal
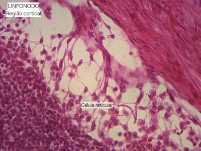
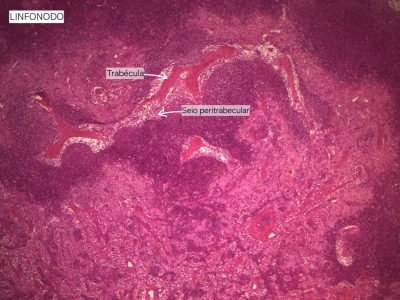
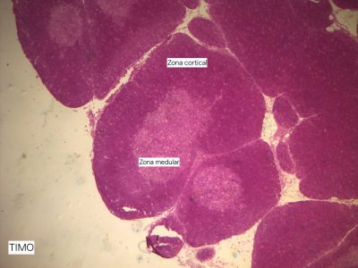
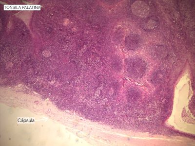
Sistema Imune
Posts recentes
Tecido Epitelial 1
Resumo Tecido Sanguíneo
Flashcards Histologia Bucal
Flashcards
Sistema Circulatório
Doutoranda do Historep ganha prêmio em SP
© 2026
HISTOREP
—
Criado com WordPress
Tema por
Anders Noren
—
Topo ↑